电子书丨《CURRENT Medical Diagnosis & Treatment 2026》
作者 Maxine A. Papadakis等,2026年出版,PDF版,1695页,英文原版
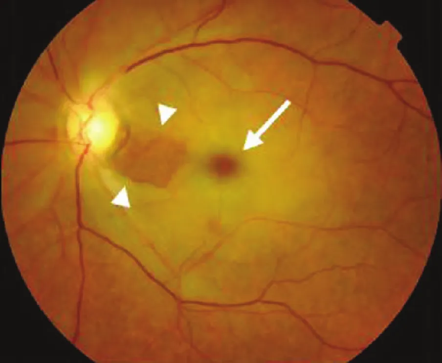
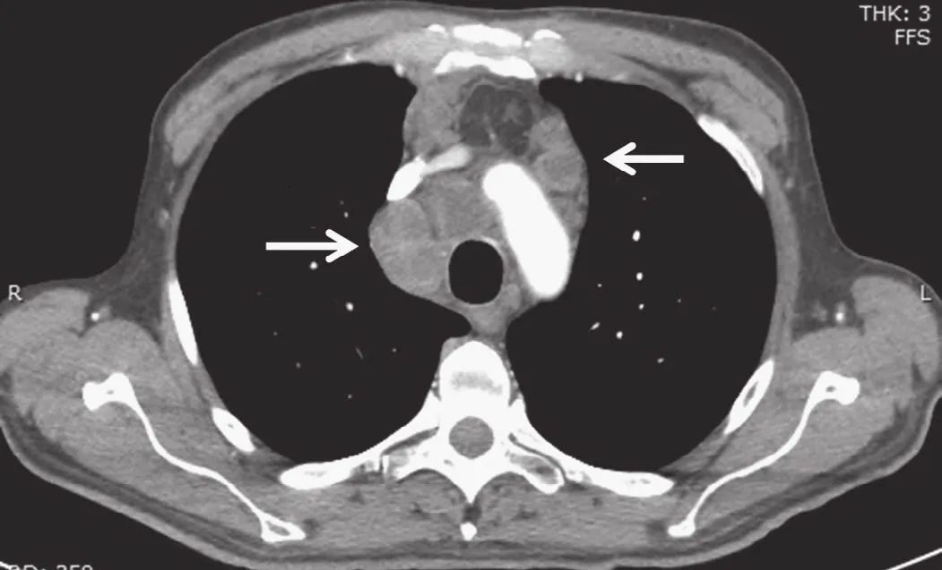
The #1 annually updated general medicine guide presents the most important diagnostic and treatment recommendations as well as the most useful new clinical developments in every field of adult medicineFor more than six decades, CURRENT Medical Diagnosis & Treatment has been delivering the authoritative information students, residents, and clinicians need to build their medical knowledge, expertise, and confidence. Written by top experts in their fields, this unmatched guide is formatted in a way that enables readers to find the answers they need quickly and easily.CURRENT Medical Diagnosis & Treatment 2026 reflects the latest developments in medicine, guidelines, scientific literature, and more. Readers will find accurate, reliable, evidence-based coverage of more than 1,000 diseases and disorders along with a concise, yet thorough synopsis of diagnosis and treatment. This trusted classic covers all aspects of outpatient care and includes discussion of new developments and breakthroughs in medicine.CURRENT Medical Diagnosis & Treatment 2026 features:• A comprehensive approach to patient care, focusing on the diagnostic tools relevant to daily practice• Coverage of more than 1,000 diseases and disorders• Drug treatment tables for quick access to indexed trade names• Annual updates to topics, medications, tables, and images in all chapters using a consistent format• Year in Review highlighting the many topics with significant clinical changes over the last year• Essentials of Diagnosis for most diseases/disorders• Diagnostic and treatment algorithms present complex information in an at-a-glance style• Hundreds of full-color photos and illustrations• Five additional bonus chapters available free on AccessMedicine!







温馨提示:需团购资源的,可添加微信“CRRT1977",一次性购买5个以上资源,享受5折优惠;一次性购买10个以上资源,享受4折优惠。(注:合集不参加团购优惠)您也可在系统中直接下载本资源(46元)
点击“阅读原文”,立刻下载
